MRIを中心に脳の様々な研究を行っています。
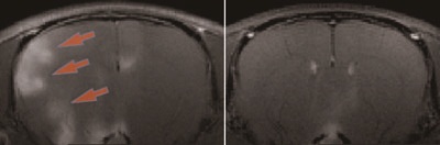
研究面では、医療情報学ユニットと連携し、磁気共鳴医学および画像情報学の手法を中心に、神経生理学および脳神経科学の分野で、ヒトおよび実験動物 を対象に研究を行っています。近年の医療画像技術の発展は、疾病の早期発見など臨床面に多大なる貢献をするとともに、脳機能や神経生理学の研究にも革命的 な変化をもたらしました。医療情報学ユニットでは、国内有数の設備を誇る磁気共鳴画像装置を使用して、1)鍼灸刺激をはじめとする体性感覚刺激に伴う脳機 能の解析、2)筋の運動に伴う代謝の解析や収縮や変形に伴う筋の生理学的な変化を捉える研究、3)脳神経疾患の病態評価および治療効果の評価、および4) 神経生理学および脳神経科学に有用な新技術の開発など、ヒトおよび動物モデルを対象に研究を進めています。図1は右手合谷に電気刺激を行ったときのヒトの 脳機能画像;fMRI., 図2は右手合谷に温熱刺激を行ったときのfMRIを示す。神経活動に伴って生じる血液の酸素代謝の変化と血流の変化を反映しています。図3は通電刺激を 行ったときのラットの神経賦活画像;AIM MRI。神経活動に伴って生じるカルシウムの動きに合わせて、神経の内部に蓄積した造影剤の変化を捉えています。
| 図1.脳機能MRI(fMRI)による研究(ヒト) | ||
図2. 合谷に温熱刺激を与えたときの脳の賦活部位 |
| 図3.痛みモデルラットにおける脳活動の研究 |
![]() |


